近日,国产在线 闵育娜教授团队在植物乳杆菌预防蛋鸡输卵管炎机制研究方面取得新进展。研究以“Multi-omics analysis reveals the molecular regulatory network underlying the prevention of Lactiplantibacillus plantarum against LPS-induced salpingitis in laying hens”为题在《Journal of Animal Science and Biotechnology》期刊发表, 国产在线 2020级博士研究生宋丹为本论文第一作者,闵育娜教授和国家粮食和物资储备局科学研究院王薇薇副研究员为共同通讯作者。
输卵管感染(输卵管炎)是蛋鸡最常见的由大肠杆菌引起的生殖系统疾病,一旦感染会增加致病性大肠杆菌水平和垂直传播的风险,使其产蛋性能受到影响,进而造成严重的经济损失。近年来,在抗生素减量替代的背景下家禽粪便中的臭味物质的排放和抗生素替代品的选择已成为家禽业面临的主要挑战,因此寻找既能减少臭味物质排放又能增强机体免疫力的高效环保策略具有重大的生态和应用价值。益生菌是常用的营养调节饲料添加剂,其中植物乳杆菌可有效预防肠道或全身炎症,但其预防蛋鸡输卵管炎的研究报道甚少。
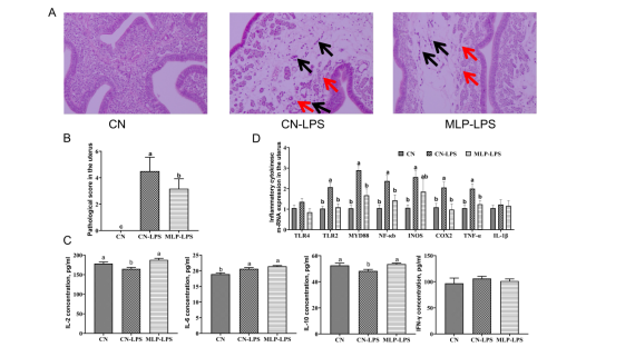
本研究以脂多糖通过胶囊给药方式建立输卵管炎模型,观察植物乳杆菌对蛋鸡输卵管炎的预防效果,结果显示,饲粮中添加微囊化植物乳杆菌(MLP)可显著缓解脂多糖(LPS)引起的蛋鸡子宫炎症和萎缩。MLP-LPS组蛋鸡血浆IL-2和IL-10浓度显著高于LPS刺激组(CN-LPS组)。与CN-LPS组相比,添加MLP组TLR2、MYD88、NF-κB、COX2和TNF-α的表达量显著降低。

随后进行微生物组学、转录组学和代谢组学联合分析阐明微囊化植物乳杆菌预防输卵管炎的分子调控网络。分析表明,植物乳杆菌降低有害菌 Candidatus_Saccharimonas 的丰度,增加有益菌 Phascolarctobacterium 、 Ruminococcus _ torques _ group 和 Eubacterium _ hallii _ group 的丰度,从而提高有益代谢产物s -乳酸谷胱甘肽的含量,降低有毒代谢产物对P-Toyl sulfate、O-Cresol、和N-Acetylhistamine,差异代谢物的变化促进抗肿瘤基因的表达,增加钙调节基因的表达,减少细胞外基质的降解,从而达到预防输卵管炎的效果。

本研究得到国家自然科学基金(No. 32002192)、国家现代农业产业技术体系(CARS-40-S20)和中央级公益性科研院所基本科研业务费(JY2016)项目的资助。
原文链接://jasbsci.biomedcentral.com/articles/10.1186/s40104-023-00937-x